Onkoloji xəstəliklərlə bağlı həyəcan təbili: İnsanlar həyatını itirir! - FOTOLAR
Onkoloji xəstəliklərin müayinə və müalicəsinin icbari tibbi sığorta tərəfindən qarşılanmaması məsələsi yenidən gündəmdədir.
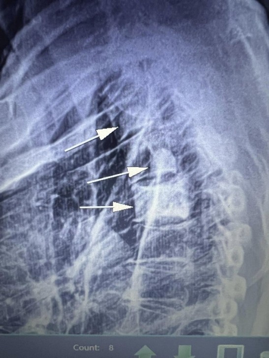
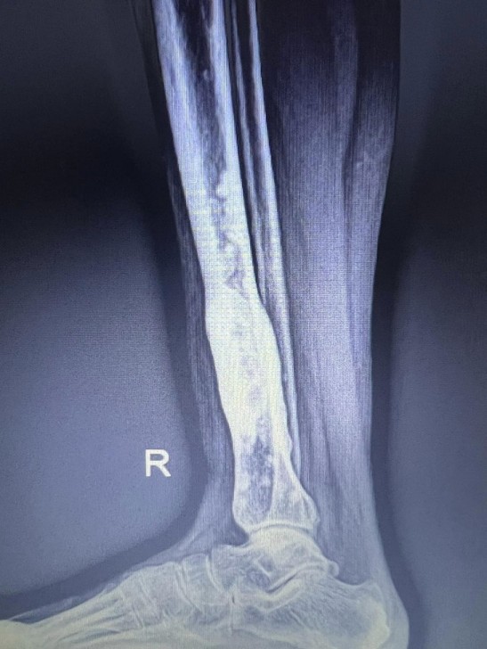
AFN.az xəbər verir ki, tanınmış həkim Aydın Əliyev bu sahədə vəziyyətin getdikcə ağırlaşdığını bildirib. O, xəstələrdən birinin müayinə nəticələrini paylaşaraq bunları yazıb: “Onkoloji xəstəliklərin müayinə və müalicəsinin hələ də icbari tibbi sığorta tərəfindən qarşılanmamasının daha bir qurbanı. Sağ qamış sümüyündəki törəmənin maddi imkansızlıq səbəbindən vaxtında və sistemli müalicə və ya əməliyyat edilməməsi səbəbindən fəqərələrə, qabırğalara, kürək, çanaq sümüklərinə, ağciyərə çoxsaylı metastazları. Demək olar ki, adam həyatını itirib”.
Qeyd edək ki, Azərbaycanda onkoloji xəstəliklərin icbari tibbi sığorta zərfinə daxil edilməsi məsələsi naməlum səbəblərdən gecikir. Hələlik gecikmənin səbəbilə bağlı dəqiq bir söz deyən olmasa da, ortada olan başqa bir reallıq əslində bu cür xəstələrə tibbi yardımın ödənişsiz olmasıdır. Belə ki, “Onkoloji yardım haqqında” Qanuna əsasən, Azərbaycan Respublikasının vətəndaşı olan onkoloji xəstələrə tibbi yardım dövlət tibb müəssisələrində dövlət büdcəsi vəsaiti hesabına həyata keçirilməlidir. Lakin bu sahə üzrə fəaliyyət göstərən ixtisaslaşmış Milli Onkologiya Mərkəzində (MOM) və ölkənin müxtəlif regionlarındakı bu cür xəstəxanalarda onkoloji xəstələrin müalicəsi hazırda ölkəmizdə ən bahalı səhiyyə xidmətlərindən birinə çevrilib. Bu vəziyyətlə bağlı artıq saysız-hesabsız narazılıqlar, şikayətlər əksini tapıb, təəssüf ki, hamısı nəticəsizdir.
Mütəxəssislər onkoloji xəstəliklərin təcili olaraq icbari tibbi sığorta zərfinə daxil olunmasını tələb edirlər. Parlamentin 2023-cü il üzrə büdcə müzakiləri zamanı Milli Məclisin Səhiyyə komitəsinin sədri Əhliman Əmiraslanov da bu məsələni bir daha qaldırmışdı. Ə.Əmiraslanov təəssüflə qeyd edib ki, dəfələrlə bununla bağlı müzakirələr aparılsa da, müsbət nəticə olmayıb. “Gecikmək lazım deyil, bu xəstələr sürətlə müalicə olunmalıdır” – deyə komitə sədri bildirib.
İcbari Tibbi Sığorta üzrə Dövlət Agentliyinin sədri Zaur Əliyev bu günlərdə mediaya açıqlamasında bildirib ki, Azərbaycanda onkoloji xəstəliklərin tibbi sığorta ilə müalicə olunması ilə bağlı işlər görülür. “Hesablamalar aparılır, xarici mütəxəssislər cəlb edilib" deyən agentlik rəhbərinin sözlərinə görə, Səhiyyə Nazirliyi və aidiyyəti qurumlarla onkoloji xəstəliklərin müalicəsinin icbari tibbi sığorta çərçivəsində olması üçün bir neçə görüş keçirilib: "Sığorta dəqiq hesablamalar tələb edir. Xarici ölkələrdən də bu işə mütəxəssislər cəlb edilib. Hazırda Türkiyədən mütəxəssislər gözləyirik".
Agentlik rəhbəri qeyd edib ki, bu ilin sonuna qədər nəticə olacağına ümidr edir. Onun sözlərinə görə, müəyyən hesablamalardan sonra bilinəcək ki, onkoloji xəstəliklərin müalicəsi icbari tibbi sığorta çərçivəsində necə qarşılanacaq. “Adətən ən çox müraciət olunan xəstəliklər nəzərə alınır. Azərbaycanda əsasən süd vəzi xərçənginə daha çox rast gəlinir. Yəqin ki, ilk sıralarda həmin xəstəlik nəzərə alınacaq” – deyə Z.Əliyev qeyd edib.














